• Home
  • Agric
  • Sci & Tech
  • Health
  • Environment
  • Hausa News
  • More
    • Business/Banking & Finance
    • Politics/Elections
    • Entertainments & Sports
    • International
    • Investigation
    • Law & Human Rights
    • Africa
    • ACCOUNTABILITY/CORRUPTION
    • Hassan Gimba
    • Column
    • Prof. Jibrin Ibrahim
    • Prof. M.K. Othman
    • Defense/Security
    • Education
    • Energy/Electricity
    • Entertainment/Arts & Sports
    • Society and Lifestyle
    • Food & Agriculture
    • Health & Healthy Living
    • International News
    • Interviews
    • Investigation/Fact-Check
    • Judiciary/Legislature/Law & Human Rights
    • Oil & Gas/Mineral Resources
    • Press Freedom/Media/PR/Journalism
    • General News
    • Presidency
  • About Us
    • Contact Us
    • Board Of Advisory
    • Privacy Policy
    • Ethics Policy
    • Teamwork And Collaboration Policy
    • Fact-Checking Policy
    • Advertising
  • Media OutReach Newswire
    • Wire News
  • The Stories
Facebook Twitter Instagram
Trending
  • Ondo begins promotion for 3,000 workers
  • NMA summons emergency meeting over crisis
  • FG urges farmers to use climate forecast
  • FG reviews agric curriculum to close skills gap
  • Sultan’s media team faults CAN over chapel invite denial
  • UNIPORT promotes 30 academics
  • Climate change now security threat — NDC
  • NiMet predicts mixed weather nationwide
Facebook Twitter Instagram YouTube
AsheNewsAsheNews
  • Home
  • Agric

    FG urges farmers to use climate forecast

    April 20, 2026

    Lagos butchers warn over rising cow prices

    April 19, 2026

    Association urges members to boost catfish value

    April 17, 2026

    WFP spends $5M on shock response in Nigeria

    April 17, 2026

    Stakeholders push investment in Nigeria’s agribusiness

    April 16, 2026
  • Sci & Tech

    How Nigeria can turn research into economic growth — Onwualu

    April 20, 2026

    Lagos unveils cybersecurity guidelines

    April 20, 2026

    NITDA, CAC strengthen cybersecurity measures

    April 18, 2026

    New science labs donated to Oshodi school

    April 18, 2026

    Nigerian freelancers face rising financial pressure

    April 17, 2026
  • Health

    NMA summons emergency meeting over crisis

    April 20, 2026

    PSN Kwara chairman commends Tinubu’s tax waiver for pharmaceutical sector

    April 20, 2026

    Advocates call for inclusion of children with disabilities

    April 19, 2026

    NYSC tackles mobilisation delays

    April 19, 2026

    NMA Lagos ousts chairman

    April 19, 2026
  • Environment

    NiMet predicts mixed weather nationwide

    April 20, 2026

    Engineers call for transport reform

    April 20, 2026

    Turkish airlines, Air peace sign deal

    April 20, 2026

    Aviation drives growth in Nigeria – Kambari

    April 18, 2026

    NSIB introduces new conditions of service

    April 17, 2026
  • Hausa News

    Otti plans 250-room 5-star hotel in Umuahia

    April 11, 2026

    Anti-quackery task force seals 4 fake hospitals in Rivers

    August 29, 2025

    [BIDIYO] Yadda na lashe gasa ta duniya a fannin Ingilishi – Rukayya ‘yar shekara 17

    August 6, 2025

    A Saka Baki, A Sasanta Saɓani Tsakanin ‘Yanjarida Da Liman, Daga Muhammad Sajo

    May 21, 2025

    Dan majalisa ya raba kayan miliyoyi a Funtuwa da Dandume

    March 18, 2025
  • More
    1. Business/Banking & Finance
    2. Politics/Elections
    3. Entertainments & Sports
    4. International
    5. Investigation
    6. Law & Human Rights
    7. Africa
    8. ACCOUNTABILITY/CORRUPTION
    9. Hassan Gimba
    10. Column
    11. Prof. Jibrin Ibrahim
    12. Prof. M.K. Othman
    13. Defense/Security
    14. Education
    15. Energy/Electricity
    16. Entertainment/Arts & Sports
    17. Society and Lifestyle
    18. Food & Agriculture
    19. Health & Healthy Living
    20. International News
    21. Interviews
    22. Investigation/Fact-Check
    23. Judiciary/Legislature/Law & Human Rights
    24. Oil & Gas/Mineral Resources
    25. Press Freedom/Media/PR/Journalism
    26. General News
    27. Presidency
    Featured
    Recent

    Ondo begins promotion for 3,000 workers

    April 20, 2026

    NMA summons emergency meeting over crisis

    April 20, 2026

    FG urges farmers to use climate forecast

    April 20, 2026
  • About Us
    1. Contact Us
    2. Board Of Advisory
    3. Privacy Policy
    4. Ethics Policy
    5. Teamwork And Collaboration Policy
    6. Fact-Checking Policy
    7. Advertising
    Featured
    Recent

    Ondo begins promotion for 3,000 workers

    April 20, 2026

    NMA summons emergency meeting over crisis

    April 20, 2026

    FG urges farmers to use climate forecast

    April 20, 2026
  • Media OutReach Newswire
    • Wire News
  • The Stories
AsheNewsAsheNews
Home»General News»Female genital schistosomiasis an emerging public health problem – Expert
General News

Female genital schistosomiasis an emerging public health problem – Expert

NewsdeskBy NewsdeskAugust 7, 2022Updated:August 7, 2022No Comments3 Mins Read
Share
Facebook Twitter LinkedIn Pinterest Email

By Lizzy Carr, Bauchi 

A Public Health consultant with Gombe State University, Dr Ibrahim Rabiu has noted that female genital schistosomiasis is an emerging public health problem that affects women and girls endemic areas.

He was speaking at the 2022 annual general meeting annual general meeting and scientific conference organised by the Bauchi branch of the Nigeria Medical Association (NMA) held at the Specialist Hospital, Bauchi.

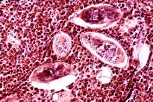
Dr Rabiu described female genital schistosomiasis as a disease condition where eggs laid by adult parasite migrate and become trapped in the genital organs such as ovaries fallopian tubes, uterus, cervix and vagina.

According to him, there are 56 million women and girls infected with the disease in sub Saharan Africa, adding that this occurs in up to 79% of women affected by schistosomiasis.

“Though in Nigeria the burden of Female genital schistosomiasis is not known, two studies on FGS have been carried out, and shows a rise in the number of reported cases even among girls as young as five years.

“It present itself through vagina discharge, vagina itching, lowered abdominal pain, discomfort during sex, post coital bleeding and bleeding in between menstrual period. 

“The consequences of female genital schistosomiasis include infertility, abortion or ectopic pregnancy, genital ulcers, involuntary urination when coughing or laughing, depression, chronic pelvic pain,increased risk of HIV/HPV infections and tumour of the vulva, vagina and cervix.

“These are challenges due to lack of awareness, undiagnosed or under reported, and limitation in clinical diagnosis of FGS among even the health workers,” he said.

Dr Rabiu said the disease is treated with a single dose of praziquantel.

While identifying areas of endemic to include fishing and agriculture communities, places with poor access to portable water, poor sanitation and hygiene, Dr Rabiu called on government to provide potable water to endemic communities, and for people to avoid indiscriminate defecation.

In another presentation on “Medico-Legal Issues in clinical practice”, the State Chairman, Nigeria Bar Association (NBA), Barrister Jibrin called on health facilities to strengthen their internal mechanism in settling grievances from patients to prevent legal battles.

“You know the national health act has been signed to law and it provides that a patient has rights when accessing medical services even if he is a victim of gun shots. So you need to work in line with the provision of the act,” he said.

Declaring the AGM/ Scientific Conference open, Bauchi state governor, Bala Mohammed said the blueprint from the state health summit has given his administration direction on how to address the health challenges of the state.

He noted that government has started addressing some of these challenges that include renovation of general hospitals and engagement for medical personnel.

Represented by the executive chairman, Hospital Management Board, Dr Sambo Mohammed, the governor added that pre service medical students and retired medical doctors have been employed and sent to hospitals across the state.

He promised to continue to work with NMA to improve quality of care in the state.

The state chairman of NMA, Dr Adamu Sambo commended the state for given the association the opportunity to serve in health related boards and committees.

Sambo said the NMA has carried out medical outreaches in communities, held health talks in schools and communities as it’s contribution to the government’s quest to improve the quality of health care services.

Bauchi NMA Female genital schistosomiasis
Share. Facebook Twitter Pinterest LinkedIn WhatsApp Reddit Tumblr Email
Newsdesk
  • Website

Related Posts

Ondo begins promotion for 3,000 workers

April 20, 2026

NMA summons emergency meeting over crisis

April 20, 2026

Sultan’s media team faults CAN over chapel invite denial

April 20, 2026

Leave A Reply Cancel Reply

Ondo begins promotion for 3,000 workers

April 20, 2026

NMA summons emergency meeting over crisis

April 20, 2026

FG urges farmers to use climate forecast

April 20, 2026

FG reviews agric curriculum to close skills gap

April 20, 2026
About Us
About Us

ASHENEWS (AsheNewsDaily.com), published by PenPlus Online Media Publishers, is an independent online newspaper. We report development news, especially on Agriculture, Science, Health and Environment as they affect the under-reported rural and urban poor.

We also conduct investigations, especially in the areas of ASHE, as well as other general interests, including corruption, human rights, illicit financial flows, and politics.

Contact Info:
  • 1st floor, Dogon Daji House, No. 5, Maiduguri Road, Sokoto
  • +234(0)7031140009
  • ashenewsdaily@gmail.com
Facebook Twitter Instagram Pinterest
© 2026 All Rights Reserved. ASHENEWS Daily Designed & Managed By DeedsTech

Type above and press Enter to search. Press Esc to cancel.